تاپان سۆڭەك ئۆسۈپ قېلىش دېگىنىمىز، تاپان سۆڭىكىدە بىنورمال ئۆسۈش كۆرۈلگەنلىكىنى كۆرسىتىدۇ، ئادەتتە ئۇزۇن ۋاقىت بېسىم ياكى زەخىملىنىش سەۋەبىدىن كېلىپ چىقىدۇ. بۇ خىل ئەھۋال ئاغرىش ۋە بىئارام بولۇشنى كەلتۈرۈپ چىقىرىشى مۇمكىن. غەرب تېبابىتىدە تاپان سۆڭىكىنىڭ ئۆسۈپ قېلىش سەۋەبىگە چوڭقۇر دىئاگنوز قويۇش ۋە داۋالاش ئىنتايىن مۇھىم.

سەۋەبى:
1. ئۇزۇن ۋاقىت ئۆرە تۇرۇش ياكى يول مېڭىش:ئۇزۇن ۋاقىت ئۆرە تۇرۇش ياكى يول مېڭىش تاپاننىڭ بېسىمىنى ئاشۇرۇپ، سۆڭەك ئۆسۈپ قېلىشنى كەلتۈرۈپ چىقىرىشى مۇمكىن.
2. ئاياغ ماس كەلمەسلىك:بەك كىچىك ياكى ماس كەلمەيدىغان ئاياغنى كىيگەندە پۇتتىكى بېسىمنىڭ تەكشى تارقالماسلىقىنى كەلتۈرۈپ چىقىرىپ، سۆڭەك ئۆسۈپ قېلىشنى كەلتۈرۈپ چىقىرىشى مۇمكىن.
3. پۇت قىسمىدىكى قۇرۇلما مەسىلىسى:مەسىلەن، تۆگىتاپان، ئېگىز ياسىمان پۇت قاتارلىق پۇت قىسمىدىكى قۇرۇلما نورمالسىزلىقىمۇ سۆڭەك ئۆسۈپ قېلىشنى كەلتۈرۈپ چىقىرىشى مۇمكىن.
4. ئىرسىيەت ئامىلى:بەزى كىشىلەردە ئىرسىيەت ئامىلى سەۋەبىدىن ئاسانلا سۆڭەك ئۆسۈپ قېلىشى مۇمكىن.
5. باشقا سەۋەبلەر:مەسىلەن، بوغۇم ياللۇغى، دىئابېت كېسىلى، سېمىزلىك قاتارلىقلارمۇ تاپان سۆڭەك ئۆسۈپ قېلىش بىلەن مۇناسىۋەتلىك بولۇشى مۇمكىن.
تەكشۈرۈش ۋە دىئاگنوز قويۇش ئۇسۇلى:
1. كىلىنىكىلىق تەكشۈرۈش:دوختۇر بىمارنىڭ پۇتىنى كۆزىتىدۇ، كېسەللىك ئالامەتلىرى ۋە كېسەللىك تارىخىنى سورايدۇ.
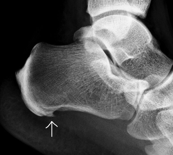
2. X نۇردا تەكشۈرۈش:بۇ سۆڭەك ئۆسۈپ قېلىشنى باھالاشتىكى ئەڭ كۆپ قوللىنىلىدىغان ئۇسۇل بولۇپ، سۆڭەكنىڭ شەكلى ۋە ئورنىنى ئېنىق كۆرسىتىپ بېرەلەيدۇ.
3. MRI ياكى CT تەسۋىر كۆچۈرۈش:بەزى ئەھۋاللاردا بۇ تەكشۈرۈشلەرنى ئېلىپ بېرىش ئارقىلىق سۆڭەك ئۆسۈپ قېلىش ئەھۋالىنى تېخىمۇ تەپسىلىي ئىگىلەشكە توغرا كېلىشى مۇمكىن.
4. سۆڭەك زىچلىقىنى تەكشۈرۈش:گەرچە بۇ سۆڭەك ئۆسۈكچىسىگە بىۋاسىتە دىئاگنوز قويۇشقا ئىشلىتىلىدىغان ئۇسۇل بولمىسىمۇ، لېكىن سۆڭەكنىڭ ئومۇمىي ساغلاملىق ئەھۋالىنى باھالاشقا ياردەم بېرىدۇ.
داۋالاش ئۇسۇلى:
1. فىزىكىلىق داۋالاش:ئالاھىدە ھەرىكەت ۋە سوزۇش ئارقىلىق ئاغرىقنى پەسەيتىدۇ ۋە ئىقتىدارىنى ياخشىلايدۇ.
2. پېتەك ياكى ئاياغ زاكاز قىلىش:ئالاھىدە ياسالغان پېتەك ياكى ئاياغ بېسىمنى تارقاقلاشتۇرۇپ، ئاغرىقنى ئازايتىدۇ.
3. دورا بىلەن داۋالاش:سېتروئىدسىز ياللۇغقا قارشى دورىلار ( NSAIDs ) ئاغرىق ۋە ياللۇغنى پەسەيتىشكە ياردەم بېرىدۇ.
4. ئوپېراتسىيە:ئېغىر دەرىجىدىكى سۆڭەك ئۆسۈكچىسىگە نىسبەتەن، ئوپېراتسىيە قىلىش ئارقىلىق ئارتۇق سۆڭەكنى ئېلىۋېتىشكە ياكى بۇزۇلغان قۇرۇلمىنى ئەسلىگە كەلتۈرۈشكە توغرا كېلىشى مۇمكىن.
5. باشقا داۋالاشلار:مەسىلەن، سوغۇق ئۆتكۈزۈش، ئىسسىق ئۆتكۈزۈش، ئۇۋۇلاش قاتارلىقلارمۇ ئاغرىقنى پەسەيتىشكە ياردىمى بولۇشى مۇمكىن.
ئەگەر سىز ياكى سىز تونۇيدىغان كىشىلەردە تاپان سۆڭەك ئۆسۈپ قېلىش ئالامەتلىرى كۆرۈلسە، تېزدىن دوختۇردىن مەسلىھەت سوراپ تەپسىلىي دىئاگنوز قويۇش ۋە داۋالاش تەكلىپىنى بېرىمىز.


