ئىنسان بەدىنىدىكى سۆڭەكلەر تۇرمۇشتىكى ھەر خىل تاسادىپىي ۋەقەلەر، تاشقى كۈچنىڭ تەسىرى ياكى كېسەللىك سەۋەبىدىن سۇنۇشى مۇمكىن. سۆڭەك سۇنۇش بىر ئازاپلىق جەريان بولۇپلا قالماي، بەلكى بىمارنىڭ كۈندىلىك تۇرمۇشىغا ئېغىر دەرىجىدە تەسىر كۆرسىتىدۇ. نۇرغۇن كىشىلەر سۆڭەك سۇنۇپلا قالسا، بىر مەزگىل دەم ئالغاندىن كېيىن ئۆزلىكىدىن ساقىيىپ كېتىدۇ دەپ قارايدۇ. ئەمما، تىببىي نۇقتىدىن ئېيتقاندا، بەدەننىڭ بەزى قىسىملىرىدىكى سۆڭەك سۇنۇقلار ئۆزىنىڭ ئاناتومىيەلىك قۇرۇلمىسى ۋە قان ئايلىنىش ئالاھىدىلىكى سەۋەبىدىن، ساقىيىشقا ئىنتايىن ئاستا، ھەتتا بەزىدە پۈتۈنلەي ساقايماسلىق خەۋپىگە ئىگە بولىدۇ. بۇ ماقالىدە، بىز كلىنىكىدا ساقىيىشى ئەڭ تەس دەپ قارىلىدىغان تۆت خىل سۆڭەك سۇنۇش تۈرى ۋە ئۇلارنىڭ داۋالاشتىكى قىيىنچىلىقلىرى ئۈستىدە تەپسىلىي توختىلىمىز.
1. يوتا سۆڭەك بوينى سۇنۇش: ياشانغانلارنىڭ ئاخىرقى سىنىقى
ئۇيغۇرچە: يوتا سۆڭەك بوينى سۇنۇش
ئىنگىلىزچە: Femoral Neck Fracture
خەنزۇچە: 股骨颈骨折 (Gǔgǔ jǐng gǔzhé)
ياپونچە: 大腿骨頸部骨折 (Daitaikotsu keibu kossetsu)
تۈركچە: Femur boynu kırığı
يوتا سۆڭەك بوينى سۇنۇش كۆپىنچە «ياشانغانلارنىڭ ئاخىرقى قېتىملىق سۇنۇقى» دەپ ئاتىلىدۇ. بۇنىڭ ئاساسلىق سەۋەبى، بۇ قىسىمنىڭ قان بىلەن تەمىنلىنىش سىستېمىسى ئىنتايىن ئاجىز ۋە ئۆزگىچە بولۇپ، سۇنۇق يۈز بەرگەندىن كېيىن قان تومۇرلار ئاسانلا زىيانغا ئۇچرايدۇ. قان يېتەرلىك بولمىغاندا، سۆڭەك ھۈجەيرىلىرى قايتا ھاسىل بولالمايدۇ.

- ياشانغانلاردا سۆڭەك شالاڭلىشىش سەۋەبىدىن ئادەتتىكى يىقىلىپ چۈشۈشتىمۇ يوتا سۆڭەك بوينى ئاسانلا سۇنىدۇ.
- ياشلاردا بولسا ئادەتتە يۇقىرى ئېنېرگىيەلىك زەخىملىنىش (مەسىلەن، ئاپتوموبىل ۋەقەسى) سەۋەبىدىن كۆرۈلىدۇ.
- بۇ تۈردىكى سۇنۇقنىڭ ئەڭ چوڭ خەۋپى شۇكى، ئۇ ئۇزۇن مەزگىل ساقايماسلىق ياكى سۆڭەك بېشىنىڭ چىرىشىنى كەلتۈرۈپ چىقىرىدۇ.
بۇ خىل ئەھۋالدا، نۇرغۇن بىمارلار ئوپېراتسىيە قىلىپ سۆڭەكنى مىخلاشقا ياكى سۈنئىي بوغۇم ئالماشتۇرۇشقا مەجبۇر بولىدۇ. ئەگەر ۋاقتىدا ۋە توغرا بىر تەرەپ قىلىنمىسا، بىمارنىڭ ئۇزۇن مۇددەت ياتاقتا يېتىپ قېلىشىنى كەلتۈرۈپ چىقىرىپ، ئۆپكە ياللۇغى ياكى كارىۋات جاراھىتى قاتارلىق خەتەرلىك ئەگەشمە كېسەللىكلەرگە يول ئاچىدۇ.
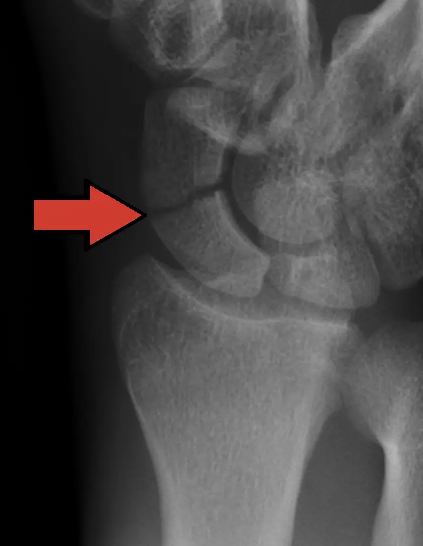
2. بېغىش قىيىقسىمان سۆڭەك سۇنۇش: يوشۇرۇن خەتەر
ئۇيغۇرچە: بېغىش قىيىقسىمان سۆڭەك سۇنۇش
ئىنگىلىزچە: Scaphoid Fracture
خەنزۇچە: 腕舟状骨骨折 (Wàn zhōuzhuànggǔ gǔzhé)
ياپونچە: 手の舟状骨骨折 (Te no shūjōkotsu kossetsu)
تۈركچە: Skafoid kırığı
بېغىشتىكى قىيىقسىمان سۆڭەك (Scaphoid) كىچىك بولسىمۇ، ئەمما ئۇنىڭ رولى ئىنتايىن مۇھىم. بۇ سۆڭەك سۇنغاندىن كېيىن، كۆپىنچە كىشىلەر ئۇنى ئادەتتىكى بېغىش تارتىشىپ قېلىش دەپ ئويلاپ سەل قارايدۇ. چۈنكى دەسلەپكى رېنتىگىن نۇرىدا سۇنۇق سىزىقى بەزىدە ئېنىق كۆرۈنمەسلىكى مۇمكىن.

بۇ سۆڭەكنىڭ ساقىيىشى تەس بولۇشتىكى سەۋەب شۇكى، ئۇنىڭ قان بىلەن تەمىنلىنىشى «تەتۈر يۆنىلىش»لىك بولىدۇ. يەنى قان تومۇرلار سۆڭەكنىڭ ئالدى تەرىپىدىن كىرىپ كەينىگە قاراپ بارىدۇ. سۇنۇق يۈز بەرگەندە، سۆڭەكنىڭ بىر قىسمىنىڭ قان بىلەن تەمىنلىنىشى پۈتۈنلەي ئۈزۈلۈپ، سۆڭەك نېكروزلىنىش كېلىپ چىقىدۇ. ئەگەر بالدۇر دىئاگنوز قويۇلۇپ، گەج بىلەن چىڭ تۇتۇلسا ياكى زۆرۈر تېپىلغاندا ئوپېراتسىيە قىلىنسا، ئەسلىگە كېلىش ئۈمىدى بار، ئەكسىچە بولغاندا قول بوغۇمىنىڭ ئىقتىدارى مەڭگۈلۈك زىيانغا ئۇچرايدۇ.
3. تاپان ئارىلىق سۆڭىكى سۇنۇش: پۇت ئىقتىدارىنىڭ دۈشمىنى
ئۇيغۇرچە: تاپان ئارىلىق سۆڭىكى سۇنۇش
ئىنگىلىزچە: Talus Fracture (Talar Fracture)
خەنزۇچە: 距骨骨折 (Jùgǔ gǔzhé)
ياپونچە: 距骨骨折 (Kyokotsu kossetsu)
تۈركچە: Talus kırığı
تاپان ئارىلىق سۆڭىكى (Talus) پۇت بىلەن پاقالچاقنى تۇتاشتۇرىدىغان مۇھىم بوغۇم سۆڭىكىدۇر. ئۇ پۈتۈن بەدەننىڭ ئېغىرلىقىنى كۆتۈرىدۇ. بۇ سۆڭەكنىڭ يۈزىنىڭ %60 تىن كۆپرەكى بوغۇم پەلەمپەيسى بىلەن قاپلانغان بولۇپ، مۇسكۇللار بىۋاسىتە چاپلاشمايدۇ. شۇڭلاشقا، ئۇنىڭ قانسىراش ئەھۋالى ئىنتايىن ئېغىر بولىدۇ.

- سۇنۇقتىن كېيىنكى نېكروزلىنىش نىسبىتى %70 كە يېتىشى مۇمكىن.
- بىمارلار ئادەتتە ئۇزۇن مۇددەت يەر بېسىپ ماڭالمايدۇ، بۇ تۇرمۇشقا زور قولايسىزلىق ئېلىپ كېلىدۇ.
- بوغۇم ياللۇغى كېيىنكى مەزگىلدىكى ئەڭ كۆپ كۆرۈلىدىغان ئەگەشمە كېسەللىكتۇر.
زامانىۋى تىببىي تەتقىقاتلار سۆڭەك ساقىيىشىنىڭ يېڭى ئۇسۇللىرى ئۈستىدە توختىماي ئىزدىنىۋاتىدۇ. مەسىلەن، 2024-يىلى Nature Communications ژۇرنىلىدا ئېلان قىلىنغان بىر تەتقىقاتتا كۆرسىتىلىشىچە، غول ھۈجەيرە تېخنىكىسىنى ئىشلىتىپ سۆڭەك شالاڭلىشىش ئارقىلىق كېلىپ چىققان سۇنۇقلارنى تېزلىتىش مۇمكىن ئىكەن. شۇنىڭ بىلەن بىر ۋاقىتتا، 2023-يىلى The Lancet ژۇرنىلىدا بېسىلغان ماقالىدە پاقالچاق سۆڭىكى سۇنۇشنى داۋالاشتا بىئولوگىيىلىك رېلىسنىڭ ئەنئەنىۋى پولات مىخلارغا قارىغاندا ساقىيىش سۈرئىتىنى ئاشۇرۇپ، ئەگەشمە كېسەللىكلەرنى ئازايتىدىغانلىقى ئىسپاتلانغان.
4. پاقالچاق سۆڭىكىنىڭ تۆۋەنكى قىسمى سۇنۇش
ئۇيغۇرچە: پاقالچاق سۆڭىكىنىڭ تۆۋەنكى ئۈچتىن بىر قىسمى سۇنۇش
ئىنگىلىزچە: Distal Tibial Fracture (Fracture of the lower third of the tibia)
خەنزۇچە: 胫骨下1/3骨折 (Jìnggǔ xià 1/3 gǔzhé)
ياپونچە: 脛骨下位1/3骨折 (Keikotsu kai 1/3 kossetsu)
تۈركچە: Tibia alt uç kırığı (Tibia distal 1/3 kırığı)
پاقالچاق سۆڭىكىنىڭ تۆۋەنكى ئۈچتىن بىر قىسمىدا يۇمشاق توقۇلمىلار ئىنتايىن ئاز بولۇپ، تېرە ئاستىدىلا سۆڭەك تۇرىدۇ. بۇ ئورۇندىكى قان ئايلىنىش باشقا قىسىملارغا قارىغاندا ناچار بولغاچقا، سۇنۇقتىن كېيىنكى ساقىيىش مۇددىتى ئىنتايىن ئۇزۇن بولىدۇ. يەنە كېلىپ، بۇ ئورۇن ئاسانلا سىرت بىلەن ئۇچرىشىپ «ئوچۇق سۇنۇق»قا ئايلىنىپ قالىدىغان بولغاچقا، يۇقۇملىنىش خەۋپىمۇ يۇقىرى.

بۇ خىل سۇنۇقنى داۋالاشتا بىمارنىڭ سەۋرچانلىقى ئىنتايىن مۇھىم. ئەگەر بالدۇر ئېغىرلىق كۆتۈرۈپ مېڭىشقا ئالدىرىسا، سۆڭەك قايتا يۆتكىلىپ كېتىشى ياكى سۆڭەك پۈتۈشۈش جەريانى توختاپ قېلىشى مۇمكىن. شۇڭلاشقا، دائىملىق تەكشۈرۈش ۋە فىزىكىلىق ئەسلىگە كەلتۈرۈش چېنىقىشلىرى ساقىيىشنىڭ ئاچقۇچىدۇر.
ساغلاملىق مەسلىھەتلىرى
سۆڭەك سۇنۇش پەقەت جىسمانىي زەخىملا ئەمەس، ئۇ بىمارنىڭ تۇرمۇش سۈپىتى ۋە روھىي ھالىتىگە زور تەسىر كۆرسىتىدۇ. ئەگەر سىزدە ياكى ئەتراپىڭىزدىكىلەردە يۇقىرىقى تۆت خىل سۇنۇقنىڭ بىرى كۆرۈلسە، تۆۋەندىكىلەرگە دىققەت قىلىڭ:
- دوختۇرنىڭ كۆرسەتمىسىگە قاتتىق ئەمەل قىلىڭ ۋە تاماكا چېكىشتىن پۈتۈنلەي ۋاز كېچىڭ (تاماكا قان تومۇرلارنى تارايتىپ ساقىيىشنى توسالغۇغا ئۇچرىتىدۇ).
- يۇقىرى ئاقسىللىق ۋە كالتسىي مول يېمەكلىكلەرنى ئىستېمال قىلىڭ.
- ئۆز بېشىمچىلىق بىلەن دورا ئىشلەتمەڭ ياكى بالدۇر ھەرىكەت قىلماڭ.
يىغىنچاقلىغاندا، سۆڭەك سۇنۇشنىڭ ساقىيىشى بىر مۇرەككەپ بىئولوگىيىلىك جەريان. بولۇپمۇ يوتا سۆڭەك بوينى، قىيىقسىمان سۆڭەك، تاپان سۆڭىكى ۋە پاقالچاقنىڭ تۆۋەنكى قىسمى سۇنغاندا، چوقۇم يۇقىرى دەرىجىدە ھوشيار بولۇپ، مەسئۇلىيەتچان دوختۇرلارنىڭ يېتەكچىلىكىدە داۋالىنىش كېرەك.


