بوۋاقلاردا بۇرۇن ئوزۇقلاندۇرۇش نەيچىسى ئوزۇقلۇقنى بىۋاسىتە ئاشقازانغا يەتكۈزىدىغان مۇھىم تىببىي قورال بولۇپ، ئۆزلۈكىدىن ئەمەلمەيدىغان ياكى يۇتۇشتا قىيىنچىلىقى بار كېسەل بوۋاقلارنىڭ ئوزۇقلىنىشى ۋە ساغلاملىقىغا كاپالەتلىك قىلىش ئۈچۈن ئىشلىتىلىدۇ. بۇ نەيچە ئارقىلىق ئانا سۈتى، سۈت پاراشوكى ياكى زۆرۈر دورىلار بوۋاقنىڭ ئاشقازىنىغا بىخەتەر يەتكۈزۈلۈپ، ئۇنىڭ ئۆسۈپ يېتىلىشى ئۈچۈن كېرەكلىك ئوزۇقلۇق تەمىنلىنىدۇ.
بۇ تېمىغا ئالاقىدار ئاتىلىشلار تۆۋەندىكىچە:
- ئۇيغۇرچە ئاتىلىشى: بۇرۇن ئوزۇقلاندۇرۇش نەيچىسى
- ئىنگىلىزچە ئاتىلىشى: Nasogastric tube (NG tube) / Feeding tube
- خەنزۇچە ئاتىلىشى: 鼻饲管 (Bísì guǎn)
- ياپونچە ئاتىلىشى: 経鼻胃管 (Keibi ikan)
- تۈركچە ئاتىلىشى: Beslenme tüpü / Nazogastrik sonda
بۇرۇن ئوزۇقلاندۇرۇش نەيچىسى (Feeding Tube) دېگەن نېمە؟
ئوزۇقلاندۇرۇش نەيچىسى بولسا يۇمشاق، ئېلاستىكىلىققا ئىگە سۇلياۋ ياكى سىلىتسىي گېلىدىن ياسالغان ئىنچىكە نەيچە بولۇپ، بوۋاقنىڭ بۇرۇن تۆشۈكى ياكى ئېغىزى ئارقىلىق كىرگۈزۈلۈپ، قىزىلۆڭگەچتىن ئۆتۈپ بىۋاسىتە ئاشقازانغا يەتكۈزۈلىدۇ. بۇ قورال كۆپىنچە ئەھۋاللاردا بوۋاقلارنىڭ ئېنېرگىيە سەرپىياتىنى تۆۋەنلىتىش ۋە ئوزۇقلۇق يېتىشمەسلىكنىڭ ئالدىنى ئېلىش ئۈچۈن ئىشلىتىلىدۇ.
يېڭى تۇغۇلغان بوۋاقلار بۆلۈمىدە (NICU) بۇ نەيچە ئەڭ كۆپ ئىشلىتىلىدىغان پەرۋىش قوراللىرىنىڭ بىرىدۇر. بولۇپمۇ بوۋاقنىڭ ئۆزلىكىدىن سۈت ئىچىش ئىقتىدارى تېخى يېتىلمىگەن ياكى بەدەن ئەھۋالى ئىنتايىن ئاجىز بولغان ئەھۋاللاردا، بۇ نەيچە ھاياتلىقنى ساقلاشتىكى كۆۋرۈكلۈك رول ئوينايدۇ.
نەيچىنىڭ تۈرلىرى ۋە پەرقى
بالىلار كېسەللىكلىرى پەنلىرىدە ئىشلىتىلىدىغان نەيچىلەر ئورنى ۋە ئىشلىتىش مەقسىتىگە ئاساسەن بىر قانچە تۈرگە بۆلىنىدۇ:
- بۇرۇن-ئاشقازان نەيچىسى (NG Tube): بۇرۇن تۆشۈكىدىن كىرگۈزۈلىدىغان ئەڭ كۆپ ئۇچرايدىغان تۈر.
- ئېغىز-ئاشقازان نەيچىسى (OG Tube): بۇرۇن ئارقىلىق نەپەسلىنىش قىيىن بولغاندا ئېغىزدىن كىرگۈزۈلىدۇ.
- ئۈچەي نەيچىسى (NJ Tube): سۈتنى بىۋاسىتە كىچىك ئۈچەيگە يەتكۈزىدىغان ئالاھىدە نەيچە.
نېمە ئۈچۈن بوۋاقلارغا نەيچە تاقىلىدۇ؟
نۇرغۇن ئاتا-ئانىلار بوۋاقنىڭ بۇرنىغا تۇرۇبا كىرگۈزۈلگەننى كۆرگەندە ئەنسىرەيدۇ، ئەمما بۇنىڭ تىببىي جەھەتتە ئىنتايىن زۆرۈر سەۋەبلىرى بار. ئاساسلىق سەۋەبلەر تۆۋەندىكىچە:
1. چالا تۇغۇلۇش: چالا تۇغۇلغان بوۋاقلار كۆپىنچە 34 ھەپتىلىك بولۇشتىن بۇرۇن ئەمچەك ئېمىش، يۇتۇش ۋە نەپەسلىنىشنى بىرلىكتە ماسلاشتۇرالمايدۇ. بۇ تۇغما رېفلېكس يېتىلمىگەچكە، نەيچە ئارقىلىق ئوزۇقلاندۇرۇش شەرت.
2. يۇتۇش قىيىنچىلىقى: بەزى كېسەللىكلەر ياكى نېرۋا سىستېمىسى مەسىلىلىرى تۈپەيلىدىن بوۋاقتا يۇتۇش رېفلېكسى كۆرۈلمىسە، سۈت ئۆپكىگە كېتىپ قېلىپ ئۆپكە ياللۇغىنى كەلتۈرۈپ چىقىرىشى مۇمكىن.
3. يۈرەك ۋە نەپەس يولى كېسەللىكلىرى: بوۋاق نەپەسلىنىشكە بەك كۆپ كۈچ سەرپ قىلسا، ئۆزلىكىدىن ئەمگەندە تېزلا چارچاپ قالىدۇ ۋە ئېھتىياجلىق سۈتنى تولۇق ئىچەلمەيدۇ.
4. زاپاس ئېنېرگىيە تېجەش: ئېغىر كېسەل بوۋاقلارنىڭ ئېمىشكە سەرپ قىلىدىغان ئېنېرگىيىسىنى بەدەننى ئەسلىگە كەلتۈرۈشكە ئىشلىتىشى ئۈچۈن نەيچە تاقىلىدۇ.
نەيچە تاقاش ۋە ئورۇنلاشتۇرۇش ئۇسۇلى
نەيچە تاقاش جەريانى تېببىي خادىملار تەرىپىدىن ئىنتايىن ئەستايىدىللىق بىلەن ئېلىپ بېرىلىدۇ. ئالدى بىلەن بوۋاقنىڭ بۇرنىدىن قۇلىقىغىچە، ئاندىن قۇلىقىدىن كۆكرەك ئاستىدىكى ئاشقازان ئورنىغىچە بولغان ئارىلىق ئۆلچىنىدۇ. نەيچە كىرگۈزۈلگەندىن كېيىن، ئۇنىڭ توغرا ئورۇنغا بارغان-بارمىغانلىقىنى جەزملەشتۈرۈش ئۈچۈن تۆۋەندىكى تەكشۈرۈشلەر ئېلىپ بېرىلىدۇ:
- نەيچە ئارقىلىق ئازراق ئاشقازان سۇيۇقلۇقى شوراپ چىقىرىلىپ، pH قەغىزى بىلەن كىسلاتالىق دەرىجىسى تەكشۈرۈلىدۇ.
- ستەتوسكوپ (ئاڭلاش ئەسۋابى) ئارقىلىق ئاشقازانغا ھاۋا كىرگۈزۈپ، ئاشقازاندىكى تاۋۇش ئاڭلىنىدۇ.
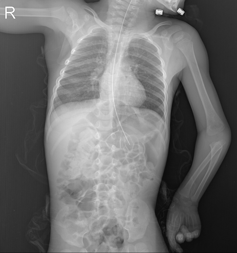
- زۆرۈر تېپىلغاندا رېنتگېن نۇرى ئارقىلىق نەيچىنىڭ ئورنى جەزملەشتۈرۈلىدۇ.

كۈندىلىك كونترول قىلىش ۋە پەرۋىش
نەيچە تاقالغان بوۋاقلارنى پەرۋىش قىلىشتا ئالاھىدە دىققەت قىلىشقا تېگىشلىك نۇقتىلار بار. نەيچىنىڭ تېرىگە چاپلانغان يېپىشقاق لېنتىسىنىڭ بوشاپ كەتمەسلىكىگە كاپالەتلىك قىلىش كېرەك. ھەر قېتىم سۈت بېرىشتىن بۇرۇن، نەيچىنىڭ ئورنىنىڭ ئۆزگىرىپ كەتكەن-كەتمىگەنلىكىنى تەكشۈرۈش زۆرۈر.
ئەگەر بوۋاقتا توختىماي يۆتىلىش، يۈزى كۆكىرىش، قۇسۇش ياكى قورساق ئېسىلىپ كېتىش قاتارلىق ئالامەتلەر كۆرۈلسە، سۈت بېرىشنى دەرھال توختىتىپ، دوختۇرغا خەۋەر قىلىش كېرەك. نەيچە ئارقىلىق سۈت بەرگەندە، سۈتنىڭ بەك تېز كىرمەسلىكىگە، ئېغىرلىق كۈچى بىلەن ئاستا ئېقىشىغا دىققەت قىلىش، بوۋاقنىڭ ھەزىم قىلىش ئەھۋالىنى كۆزىتىش پەرۋىشنىڭ مۇھىم نۇقتىسىدۇر.


